
Una mujer agredió terriblemente a su hija: todo quedó grabado y la menor ya está al resguardo de la Justicia
La Justicia intervino tras la difusión de las imágenes y la niña, de unos 10 años, fue puesta al cuidado del 102.
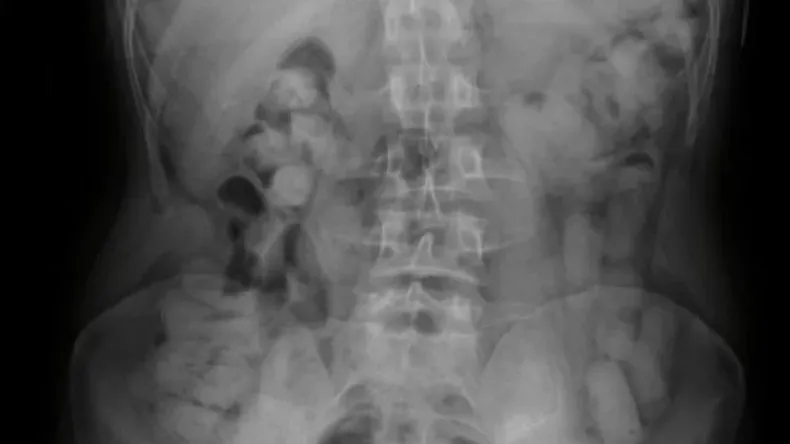
Traían en sus estómagos más de 2 kilos y medio de droga. Venían en un colectivo con destino a San Juan.
San Juan01/07/2025
INFOVALLEFERTIL INNOVA CJR
Tres jóvenes bolivianos fueron detenidos luego de que Gendarmería Nacional descubra que se habían tragado 235 cápsulas de cocaína.
El hallazgo lo hizo el Puesto Control Fijo "Trancas", del Escuadrón 55 "Tucumán", cuando llevaban a cabo un control de rutina en un transporte público de pasajeros.
Se trataba de un colectivo de larga distancia que viajaba de Jujuy a San Juan, por la ruta N° 9 en el kilómetro 1.358.
Fue al subirse a ese micro que notaron que había tres hombres de nacionalidad boliviana y mostraban signos de haber ingerido cápsulas estupefacientes. Una radiografía lo confirmó.
Gendarmería Contabilizó 235 cápsulas que los jóvenes expulsaron cuando estuvieron detenidos e internados en el hospital por un día. En total, se trataba de 2 kilos, 554 gramos de cocaína.
Intervino el Juzgado Federal de Tucumán y los tres quedaron detenidos por infracción a la Ley 23.737.



La Justicia intervino tras la difusión de las imágenes y la niña, de unos 10 años, fue puesta al cuidado del 102.

Daniel Cabeza, de 57 años, permanece en estado crítico en terapia intensiva tras un accidente mientras reparaba un autoelevador en El Cerrillo, Pocito. La causa se encuentra en investigación.

Con presencia de lluvias, arrastre en badenes y tareas activas de mantenimiento, varios tramos de las rutas nacionales presentan condiciones de precaución. Un sector permanece intransitable.

Se trata de habitantes de la localidad de Los Médanos, a quienes las defensas de sus hogares les cedieron y atraviesan un difícil presente.

Un accidente entre un colectivo, una moto y un automóvil en la Ruta 20, bajo intensa lluvia, causó lesiones graves al conductor del rodado menor, quien fue hospitalizado en el Rawson.

Las fuertes lluvias causaron daños importantes en rutas y caminos de San Juan. Se recomienda a los conductores circular con máxima precaución y respetar las indicaciones oficiales.

El conductor de un Chevrolet Corsa presentó una RTO apócrifa. La causa quedó en manos de la UFI de Flagrancia.

El Centro de Operaciones de Emergencia Municipal detalla en su último informe las intervenciones realizadas entre las 13 y las 20 horas del sábado.

Dos turistas tucumanos fueron arrastrados por la corriente en la Ruta 510, este viernes en Baldecitos, Valle Fértil. Intentaron cruzar una crecida, a unos 6 kilómetros antes del cruce con la Ruta 150.

Las fuertes lluvias causaron daños importantes en rutas y caminos de San Juan. Se recomienda a los conductores circular con máxima precaución y respetar las indicaciones oficiales.

El mal tiempo afecta varias zonas de la provincia, especialmente Valle Fértil donde las lluvias han provocado la crecida de ríos y la intransitabilidad de rutas. Actualmente, la Ruta 510, al norte, está cortada por la crecida del Río Las Talas.

El rover Perseverance encontró en rocas marcianas indicios químicos y biológicos que sugieren la posible existencia de microorganismos en el pasado. Los científicos trabajan para traer estas muestras a la Tierra y analizarlas con mayor detalle.

Los últimos datos oficiales revelan qué hay 4 departamentos de San Juan que registran menos robos y hurtos (entre ellos, Valle Fértil). En un contexto complejo, estas zonas comienzan a consolidarse como verdaderos lugares de tranquilidad.

Ocurrió este sábado y el agresor, padrastro de la menor, permanece hospitalizado bajo custodia policial

El conductor de un Chevrolet Corsa presentó una RTO apócrifa. La causa quedó en manos de la UFI de Flagrancia.